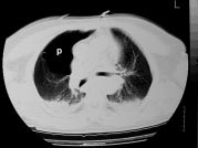
Figure 6: Intérêt de la tomodensitométrie dans le bilan lésionnel des traumatismes du thorax.
A. Pneumothorax antérieur limité (p).
B. Hémothorax (h).
C. Contusion pulmonaire (c) avec pneumatocèle (flèche) et pneumothorax antérieur limité (p).
D. Rupture isthmique de l’aorte (r).



