... ... Taysir assistance الإسعاف الطبي تيسير
Taysir assistance
Taysir assistance web site
Pages
Accueil
T assistance
ANESTHESIE REA
CARDIO
BIOLOGIE
طفيليات
كيميا ح سريرية
Photo
jeudi 28 avril 2011
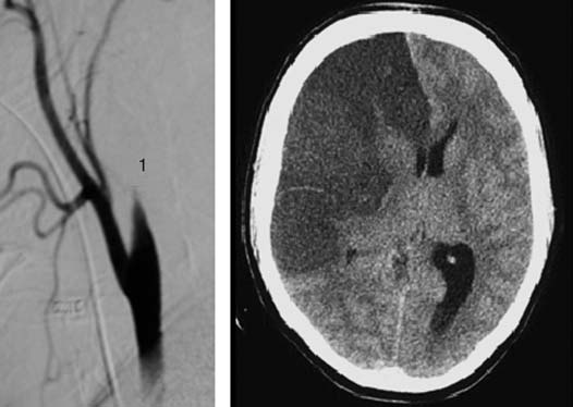
Dissection traumatique de la carotide interne droite avec une ischémie du territoire carotidien
Figure 3. Dissection traumatique de la carotide interne droite avec une ischémie du territoire carotidien. 1. Carotide interne.
Article plus récent
Article plus ancien
Accueil
Afficher la version mobile